تقويم الأسنان الشفاف في جدة: دليلك البسيط للحصول على ابتسامة مستقيمة بدون توتر

تقويم الأسنان الشفاف في جدة: دليلك البسيط للحصول على ابتسامة مستقيمة بدون توتر

تقويم الأسنان الشفاف في جدة أصبح الخيار الأول للكبار، والمراهقين، وحتى الموظفين اللي وقتهم ضيق، واللي يبغون يبتسمون بثقة بدون حديد على الأسنان. القوالب الشفافة هذه تنلبس مثل واقي أسنان خفيف، وتعدل الأسنان بهدوء وهي شبه غير مرئية للي حولك. إذا قد بحثت عن “تقويم شفاف في جدة”، أو سألت عن تكلفة العلاج، أو كنت تتمنى خيار بلون الأسنان يناسب حياتك اليومية، هذا الدليل بيفيدك وبيشرح لك كل شيء خطوة بخطوة، عشان تقرر إذا القوالب المتحركة مناسبة لك.

وش يعني تقويم شفاف؟ وكيف يشتغل؟

التقويم الشفاف – أو اللي يسمونه “Clear Aligners” – هو قوالب شفافة مصنوعة من بلاستيك طبي. كل قالب مصمم رقميًا عشان يضغط بخفة على الأسنان ويحركها شوي شوي كل أسبوع. تلبس القالب من ٢٠ إلى ٢٢ ساعة في اليوم، وتبدله كل أسبوع أو أسبوعين حسب خطة العلاج اللي يسويها لك الطبيب.

التقنية الجديدة تعتمد على مسح ثلاثي الأبعاد وخطة رقمية دقيقة، توريك النتيجة المتوقعة حتى قبل ما تبدأ.

وبما إنها شفافة وتشبه لون الأسنان، نادر أحد يلاحظ إنك لابسها. ومع إنها قابلة للإزالة، تقدر تأكل بحرية، وتفرّش أسنانك بشكل طبيعي، وتتصور براحتك. سواء تبغى تسكر فراغات، تعالج تزاحم، أو تقلل من بروز الفك، القوالب هذه تقدر تعالج أنواع كثيرة من مشاكل التقويم.

ليش كثير من أهل جدة يفضلون التقويم الشفاف؟

استبيان أُجري في عام 2023 بين الشباب السعوديين بيّن إنهم يفضلون القوالب الشفافة على التقويم المعدني أو السيراميكي، لأنها تعطي راحة وثقة أكثر.

المرضى يقولون إنهم يحبون التقويم الشفاف لهذه الأسباب:

  • شبه غير مرئي: مثالي للعمل أو المناسبات أو الصور.
  • ما فيه زيارات طارئة للأسلاك: ناعم وما يجرح.
  • كل الأكل مسموح: شيل القالب وقت الأكل واستمتع بالكبسة!

وفي تام دينتال، العلاج بالقوالب الشفافة يشمل مسح رقمي (بدون طبعات مزعجة)، قوالب مقطوعة بدقة للراحة، ومتابعة ذكية توفر عليك الوقت والزيارات المتكررة.

هل أنا مناسب لتقويم شفاف؟

التقويم الشفاف يعالج أغلب مشاكل الإطباق مثل:

  • تزاحم بسيط أو شديد.
  • علاج مبكر للأطفال قبل ما تسوء الحالة.
  • فراغات بسيطة أو كثيرة.
  • حالات جراحية (مثل بروز الفك السفلي أو العلوي).
  • حالات تحتاج زراعة مسمار صغير لعلاج الابتسامة اللثوية أو العضة المعكوسة أو المفتوحة.

أفضل نتائج تحصل لما:

  • تكون لثتك وأسنانك بصحة جيدة.
  • تلتزم بلبس القوالب ٢٠ ساعة باليوم على الأقل.

تقدر تزور الطبيب كل ٦–٨ أسابيع.

التقنية الجديدة اليوم تقدر تعالج حتى المشاكل الهيكلية الكبيرة. في أول زيارة، بنسوي لك مسح ثلاثي الأبعاد، وتقدر تختار نوع العلاج: تقويم شفاف، معدني أو سيراميكي.

رحلة علاجك في تام دينتال: خطوة بخطوة

  1. المسح وخطة العلاج: نأخذ مسح رقمي، صور، وأشعة، ونجهز خطة تبين لك كيف كل قالب بيحرك أسنانك.
  2. الموافقة على الابتسامة: نشوف معك محاكاة ثلاثية الأبعاد قبل طلب القوالب.
  3. لبس أول قالب: نركب حبات صغيرة بلون السن (لو احتجت)، ونتأكد إن القالب مريح.
  4. المتابعة والتقدم: كل ٦–٨ أسابيع تزور العيادة عشان نشيك إذا كل شيء ماشي حسب الخطة. ما تحتاج مسح جديد في كل زيارة.
  5. النتيجة النهائية والتثبيت: بعد آخر قالب، نشيل الحبات، نعطيك مثبت شفاف، ونصورك بعد التعديل للاحتفال بابتسامتك الجديدة.

كم يستغرق العلاج؟ وإيش النتيجة؟

  • الحالات البسيطة: ٦–٩ شهور.
  • الحالات المتوسطة: ١٢–١٨ شهر.

دراسات حديثة تقول إن القوالب تحقق تحسّن بنسبة 75% خلال سنة وحدة، وقريبة جدًا من نتائج التقويم التقليدي. القوالب تتحرك أكثر من سن في نفس الوقت، وهذا يساعد في تسريع العلاج. لكن التزامك بلبسها هو العامل الأهم للنتائج.

بعد العلاج، تلبس المثبت كل ليلة لفترة عشان تحافظ على النتيجة. والمثبت شكله نفس القالب الشفاف، فما راح يتغير عليك شيء.

وش اللي يحدد تكلفة تقويم الأسنان الشفاف في جدة؟

في تام دينتال، نحرص نكون واضحين معك، وهذه أهم العوامل اللي تحدد السعر:

  • درجة تعقيد الحالة: الحالات البسيطة تحتاج قوالب أقل.
  • عدد القوالب: كل ما زاد العدد، زادت مدة العلاج والتكلفة.
  • الدعم داخل العيادة: يشمل المسح الرقمي، المتابعة، والطوارئ.
  • خطة التثبيت بعد العلاج: المثبتات والفحوصات ضمن التكلفة النهائية.

نوفر لك خطط دفع ميسرة وخيارات سداد مباشرة. تواصل مع أقرب فرع تام دينتال لمزيد من التفاصيل.

مقارنة بين التقويم الشفاف والتقويم المعدني

التقويم المعدنيالتقويم الشفافالميزة
أقواس وأسلاك واضحةشبه غير مرئي 🍃الشكل
ممكن يسبب خدوش بالفمبلاستيك ناعم، بدون أسلاكالراحة
لازم تتجنب الأكل القاسي أو اللزجتقدر تشيل وتاكل براحتكالاكل
صعب استخدام الخيط بسبب الأسلاكفرشاة وخيط عاديين نظافة الأسنان
كل ٤–٦ أسابيعكل ٦–٨ أسابيع الزيارات للعيادة

وش العلامات التجارية اللي نستخدمها؟

  • Invisalign® – أكثر نظام تقويم شفاف تمت دراسته حول العالم.
  • Spark™ – شفاف جدًا ومقاوم للبقع.
  • Angel Aligner™ – مريح وله نتائج سريعة.

كل الأنواع هذه تعطي نتائج ممتازة، والطبيب بيساعدك تختار الأنسب حسب حالتك.

طريقة العناية بالقوالب الشفافة

  • اشطف القوالب بماء فاتر (لا تستخدم الماء الحار).
  • فرّش القوالب بفرشة ناعمة (بدون معجون تبييض).
  • خزن القالب بعلبته وقت الأكل عشان ما يضيع.
  • انقع القوالب أسبوعيًا في محلول خاص لتنظيفها.

ليش تختار تام دينتال لعلاج التقويم الشفاف؟

  • فريق تقويم خبير: أكثر من ١٠٠٠ حالة معالجة في جدة.
  • أجهزة متطورة: مسح رقمي بدون إزعاج.
  • رعاية شخصية: كل قالب يتابع يدويًا في كل زيارة، ونتأكد إنك ماشي حسب الخطة.
  • موقع مريح بجدة: مواقف مجانية، مواعيد في الويكند، وفريق يتكلم عربي وإنجليزي.

أفضل طبيب تقويم شفاف في جدة

اختيار الطبيب الصح مهم مثل اختيار نوع القالب. في تام دينتال، فريقنا ساعد آلاف المرضى في جدة يحصلون على ابتسامة واثقة بتقنية التقويم الشفاف. سواء عندك فراغات أو تزاحم أو مشاكل في العضة، بنسوي لك خطة مخصصة لك.

إحنا ما نعدل الأسنان بس، إحنا نضمن إنك تحس بالراحة، وتسمع رأيك، وتستمتع بالرحلة كلها. فريقنا معروف بالدقة واللطف والنتائج الممتازة.

👉 تعرف على أطباء تام دينتال المتخصصين في التقويم الشفاف بجدة.

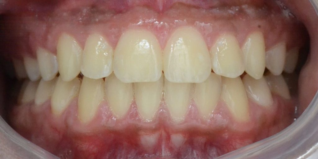
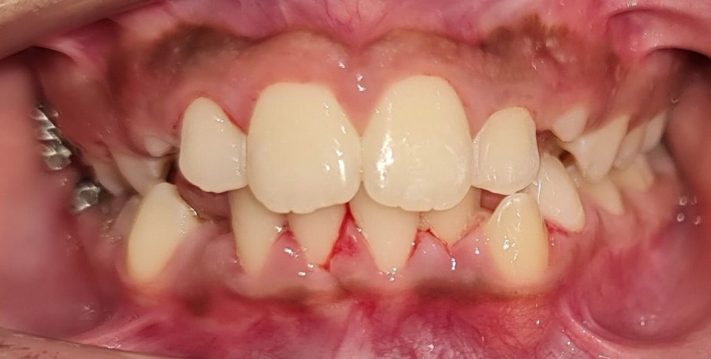
معرض الابتسامات: قبل وبعد

الصور تتكلم! شوف نتائج حقيقية لحالات استخدمت التقويم الشفاف في تام دينتال وتخيل شكل ابتسامتك بعد العلاج.

قصص من مرضانا

استمع إلى تجارب مرضانا خلال رحلة التقويم الشفاف وبعد انتهائها:

“تجربتي مع Invisalign كانت ممتازة! بعد ٨٠٪ من العلاج شفت فرق كبير، والحمد لله أنا راضي جدًا عن النتيجة.
ما حسّيت بألم حقيقي، بس شوية أول يوم. ما أثر على نطقي، وكان الأكل والشرب عادي.
مشكلتي كانت في الفراغات والعضة المفتوحة، والحمد لله العلاج عالج الاثنين بشكل سلس.”
— جدة

جاهز تبدأ رحلتك؟

سواء كنت طالب جامعي، عروس مقبلة على الزواج، أو مدير تنفيذي مشغول، تقويم تام دينتال الشفاف يناسب جدولك وصورك. احجز فحص مجاني لمدة 15 دقيقة اليوم، وشوف بنفسك كيف القوالب الشفافة تغير ابتسامتك—بدون معدن.

احجز استشارتك الآن

الأسئلة الشائعة

  1. كم سعر التقويم الشفاف في جدة؟

    يعتمد السعر على تعقيد الحالة وعدد القوالب والمتابعة؛ يُحدده الطبيب بعد الفحص.

  2. من أغلى التقويم الشفاف أم المعدني؟

    في العادة يكون التقويم الشفاف أعلى سعرًا بسبب التكنولوجيا والمواد.

  3. من جرب التقويم الشفاف؟

    آلاف المرضى في السعودية خاضوا تجربة التقويم الشفاف ويثنون على راحته ومظهره. يمكنك أيضًا مشاهدة حالات ناجحة من عيادة تام لطب الأسنان وفيديو يوضح رحلة العلاج خطوة بخطوة.

  4. هل يمكن الأكل مع التقويم الشفاف؟

    نعم، لكن يجب إزالة القوالب قبل الأكل وإعادتها بعد التنظيف.

  5. كم مدة لبس التقويم الشفاف؟

    من 20 إلى 22 ساعة يوميًا لضمان أفضل النتائج.

  6. هل يمكنني النوم مع التقويم الشفاف؟

    بالتأكيد، ارتدِ القوالب أثناء النوم لتحقيق الحركة المطلوبة للأسنان.

  7. هل التقويم الشفاف أفضل من المعدني؟

    الاثنين يحققون نفس النتيجة، لكن الشفاف أجمل وأسهل في الأكل والتنظيف. هو أسرع في العلاج، لكن يحتاج التزام عالي، بينما المعدني أقل تكلفة ويأخذ وقت أطول.

  8. هل التقويم الشفاف فعّال؟

    نعم، الدراسات أثبتت فعاليته في علاج التزاحم البسيط إلى الشديد، بنتائج قريبة جدًا من التقويم التقليدي.