Our Experts

Dr. Dareen Aljehani

Consultant of orthodontics and dentofacial orthopedics – Jacksonville University/ USA

Diplomat of American Board of Orthodontics

Fellow of Royal College of Canada

Head of General Dentistry Program, Assistant Professor, Batterjee Medical College

Book Now

Meet Dr. Dareen Aljehani

Dr. Dareen Aljehani, Consultant of Orthodontics & Dentofacial Orthopedics , specializes in advanced braces, aligners, and jaw correction treatments.

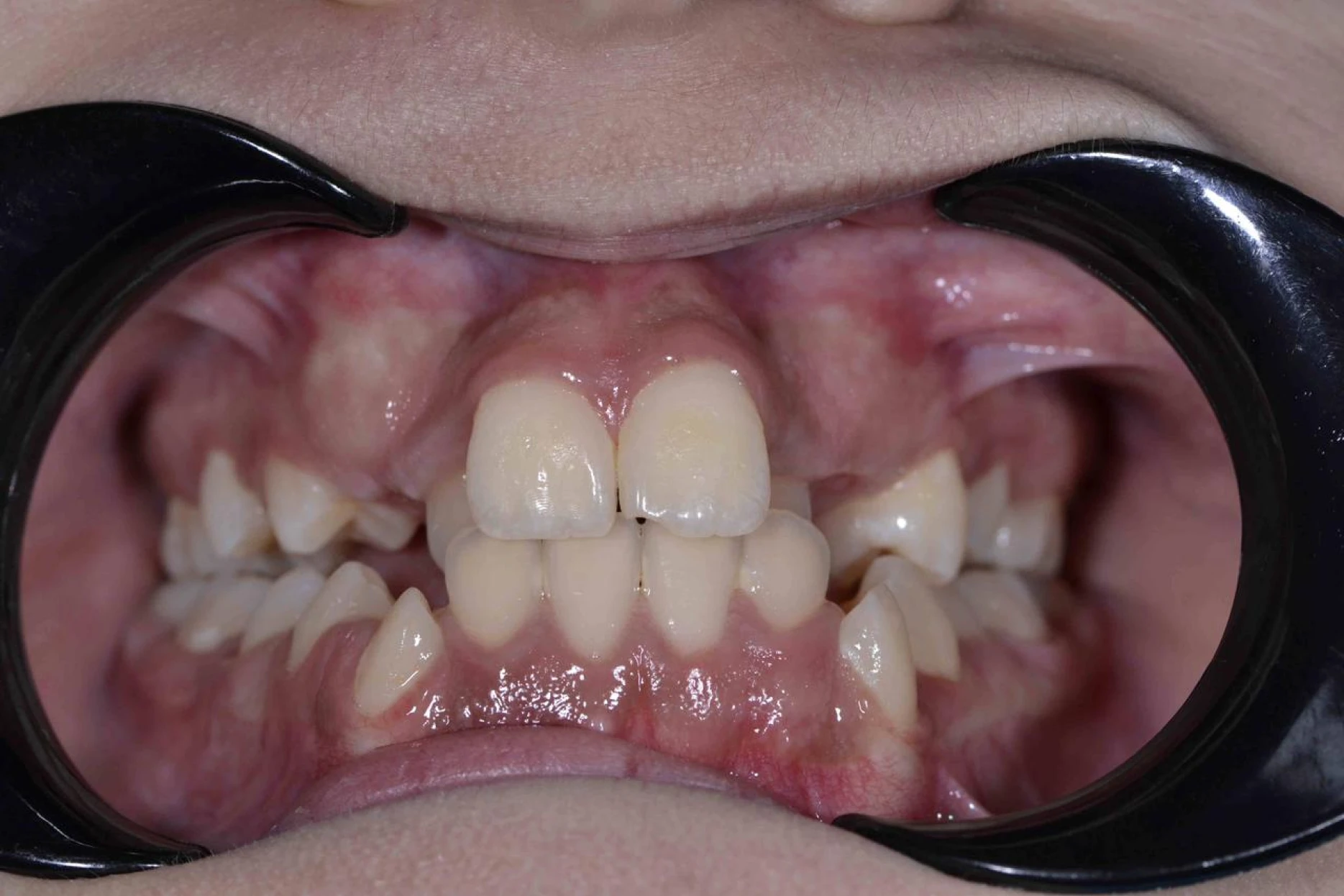
Smile Transformations

Witness our Stunning Smile Transformations

Explore our gallery of stunning before and after cases. See how our expert dental care can transform your smile.

Testimonials

What People Say About Us

 

Ready to Experience Comfort and Care With Tam Dental Clinics?

Book Now

Latest Blogs

Discover Dr.Rayan Bahabri Latest Blogs

Stay updated with our informative dental care blog articles.

image
Tooth Enamel Health: Protecting Your Smile in Jeddah

Many people focus on the appearance of their teeth — color, alignment, and brightness — but often overlook one of

image
How To Take Care Of Your Teeth: A Comprehensive Guide

Living in Jeddah as an expatriate comes with many lifestyle advantages—but maintaining long-term oral health in a new country can

image
Tooth Decay at Root: The Ultimate Guide for Healthy Smiles

Imagine feeling a sharp twinge every time you sip a cold drink or brush near the gumline. It’s easy to