Our Experts

Dr. Salma Hossameldin Ghoneim

Consultant of orthodontics and dentofacial orthopedics at University of Illinois, Chicago, USA

Master’s and American Board of Orthodontics,

University of Illinois at Chicago

Cosmetic facial fellowship, University of Genova, Italy

Book Now

Meet Dr. Salma Hossameldin

Dr. Salma Hossameldin Ghoneim stands out for her expertise in both orthodontics and dentofacial orthopedics, offering a comprehensive approach to correcting dental and facial irregularities.

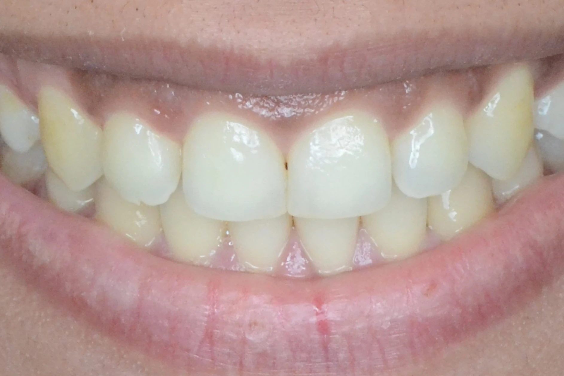
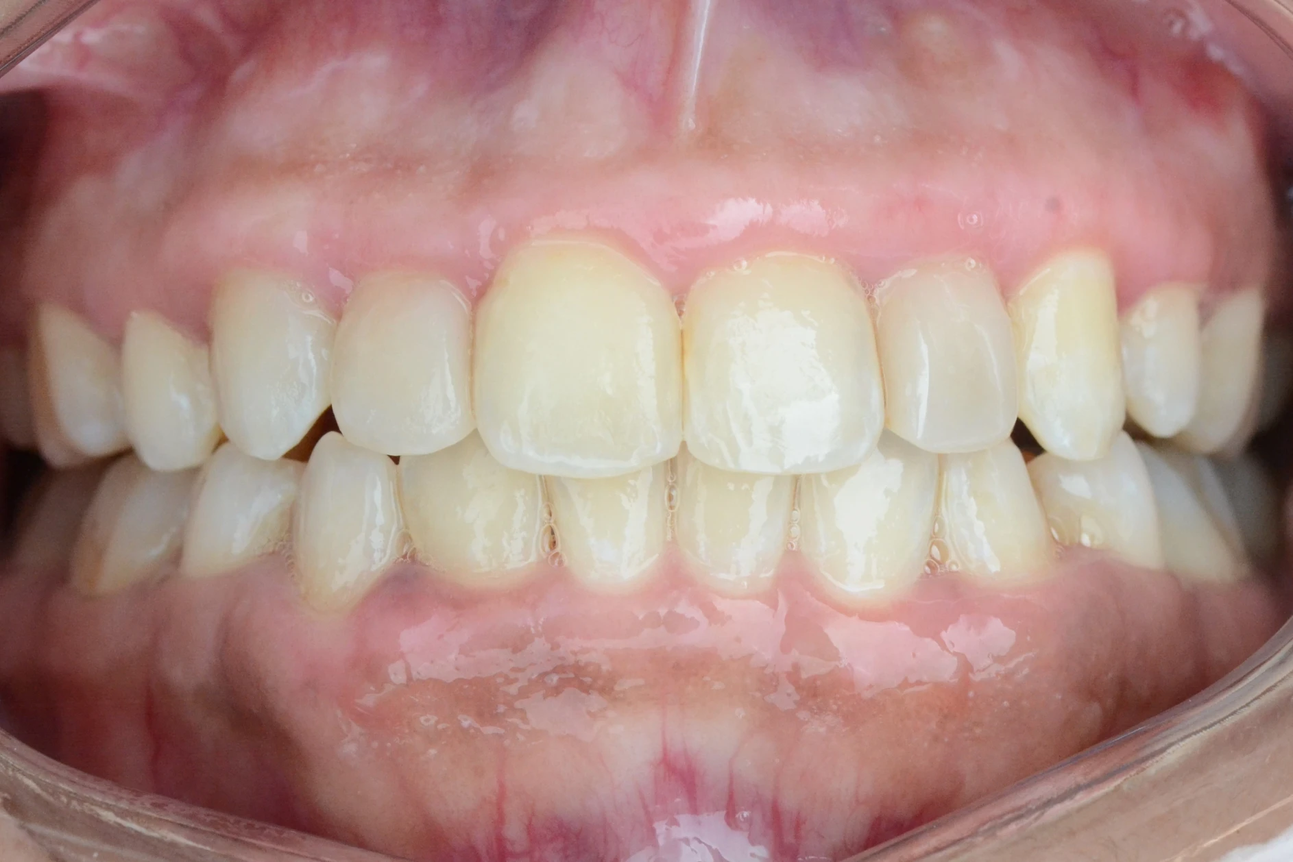
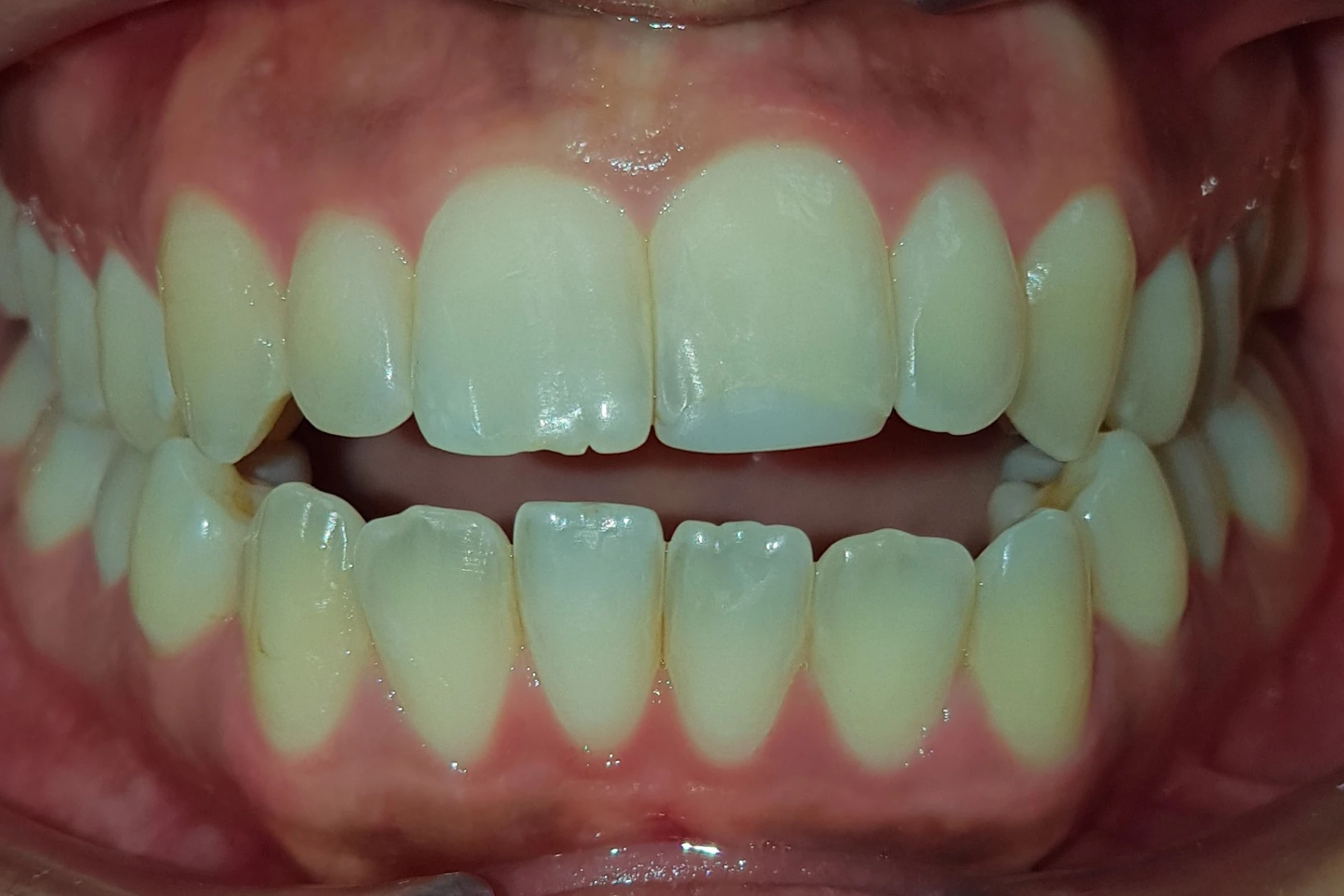
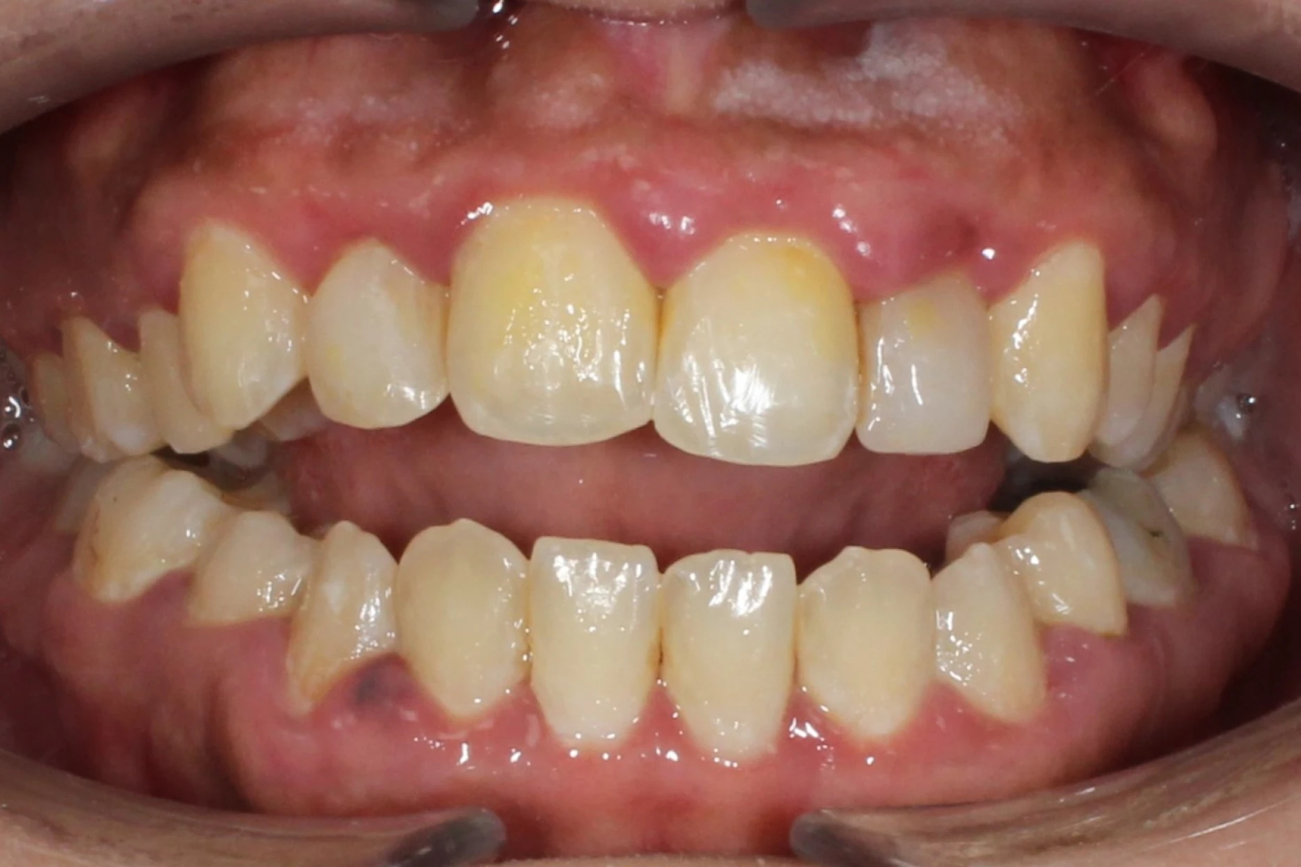
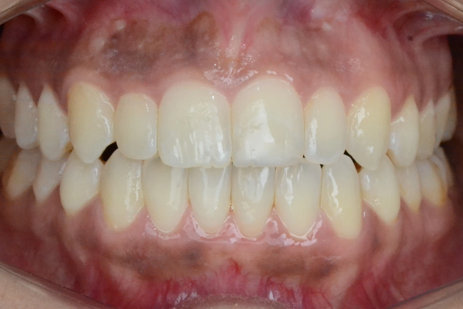
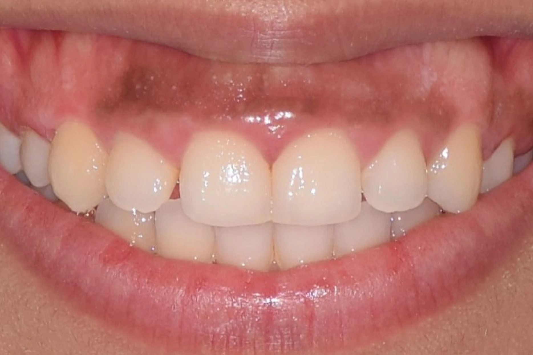
Smile Transformations

Witness our Stunning Smile Transformations

Explore our gallery of stunning before and after cases. See how our expert dental care can transform your smile.

Testimonials

What People Say About Us

Read real stories from patients who regained their confidence with their smiles.

Tam Dental | تام دنتال

322 Google reviews

Honestly the best dental surgeon ever, I’ve known (Dr. Ahmad Mostafa) for years and he’s the only one I trust .. I usually get really nervous with dentists, but his hands are so lightI don’t even feel the injections and...

Natal Alem

13 November 2025

Natal Alem
Highly recommended

Laal

18 October 2025

Laal
It was a good experience I like the clinic and vibe everything was smooth and special thanks for Mariam for her attitude and kindness and amazing welcoming along with the best doctor ever reem alali

Rash Khan

18 September 2025

Rash Khan
I’ve always struggled with a fear of dentists due to several unpleasant experiences in the past. However, my visit with Dr. Mohammed Alharbi was completely different. The procedure was painless, he was precise and careful throughout the procedure ,the session...

Alaa Abdulaziz

15 September 2025

Alaa Abdulaziz
It is an excellent service.

Hattan Alsowaigh

10 September 2025

Hattan Alsowaigh
Absolutely a five star clinic i had the best experience with Dr.Naif arab, abdulrahman sindi, mohammed flemban. Very helpful flexible staff clean and relaxing clinic really recommend it.

Htoon AD

20 August 2025

Htoon AD
We had an outstanding experience with Dr. Hadiya Taylor, a truly exceptional pediatric dentist. She was incredibly kind, patient, and gentle with my child, making the whole visit smooth and stress-free. Dr. Taylor took the time to explain everything clearly...

Ibaa

3 August 2025

Ibaa
Excellent

Muhammad Ahmad

17 July 2025

Muhammad Ahmad

Ready to Experience Comfort and Care With Tam Dental Clinics?

Book Now

Latest Blogs

Discover Dr.Rayan Bahabri Latest Blogs

Stay updated with our informative dental care blog articles.

image
How to Prevent Gum Disease, Protect Your Enamel & Keep Your Smile Healthy | Tam Dental Jeddah

Most dental problems are preventable. That is not a marketing claim — it is the consensus of the Saudi Ministry

image
Sensitive Teeth Treatment in Jeddah: Causes, Solutions, and When to See a Dentist

If you wince every time you sip hot coffee or bite into something cold, you are not imagining things. Sensitive

image
Causes of Tooth Stains & Treatment in Jeddah

A bright, healthy smile is one of the most powerful social assets we have — yet tooth discoloration affects millions